My Healthy Code

My Healthy Code

Home
Notes
Conditions
Fitness
Nutrition
Mental Health
Family
Prevention
Archive
Leaderboard
About
Issue #3 - 3 Performance Advantages in Endurance Exercise
Why experienced athletes seem to run forever — and the molecular science behind it
Mar 26 • Dr. Agu Sergius Alex
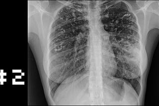
Issue #2 - The Disease That Never Really Paused
It’s World TB Day
Mar 24 • Dr. Agu Sergius Alex
Issue #1 - Rethinking Why Three Meals a Day Don’t Fit Everyone’s Metabolism
And the other things most people get wrong about dieting.
Mar 19 • Dr. Agu Sergius Alex
© 2026 Agu Sergius Alex · Privacy ∙ Terms ∙ Collection notice
Start your SubstackGet the app
Substack is the home for great culture